Eugenia Silva preocupa con una foto en el hospital: “No es fácil asumir algo así”
Eugenia Silva ha lanzado un comunicado en el que cuenta que atraviesa un duro trance de salud y ha conmovido a sus fans

Eugenia Silva
Eugenia Silva, reconocida modelo y esposa de Alfonso de Borbón y Yordi, está atravesando una etapa complicada que ha conmovido a todos sus seguidores. A sus 49 años, Eugenia ha decidido romper el silencio y compartir en sus redes sociales un momento muy personal y difícil: una fotografía desde el hospital que revela su delicado estado de salud.

Eugenia Silva en el hospital
La top model, que cuenta con más de 415 mil seguidores en sus redes sociales, quiso expresar la emoción que le produce el cariño recibido en este tiempo: "Os he echado de menos… Ese cariño que me regaláis cada día es algo muy especial, y estos días de silencio también me han hecho sentirlo". Estas palabras reflejan la conexión tan especial que tiene con su comunidad, a quienes no suele mostrar sus momentos más vulnerables.
Una confesión cargada de sinceridad
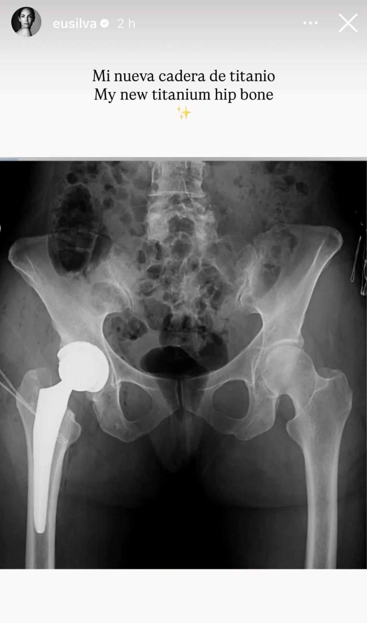
En su post, Eugenia quiso mostrar con total naturalidad y sin esconder nada: "Estas fotos os las hice para compartir lo que no siempre se muestra". Así, la modelo confesó que hace pocos días fue intervenida quirúrgicamente debido a unas lesiones provocadas por una artrosis severa en la cadera, un problema que la ha estado afectando por un tiempo.

Eugenia Silva en el hospital
"Me han puesto una prótesis de titanio. Era necesario: el dolor ya no me permitía seguir con mi ritmo habitual", explicó, detallando el alcance de la operación que marcó un antes y un después en su día a día. La decisión no fue sencilla, pero fue la única salida para recuperar calidad de vida y volver a sentirse bien consigo misma.

Una radiografía de la cadera de Eugenia Silva compartida en sus redes sociales
El duro impacto de una operación necesaria
Los próximos meses no serán fáciles para Eugenia. Ella misma reconoce las dificultades que implica una intervención de este tipo, especialmente cuando su carrera profesional está estrechamente vinculada con el movimiento, la imagen y el cuidado del cuerpo. "Este mes de septiembre ha sido especialmente retador. No es fácil asumir algo así, sobre todo cuando tu carrera está tan ligada a la imagen, al movimiento, al cuerpo en acción…", reflexionó con sinceridad.
Además, la modelo destacó la dificultad emocional que representa esta experiencia, pues muchas veces este tipo de operaciones se relacionan con etapas mucho más avanzadas en la vida, y ella tuvo que enfrentarlo a una edad en la que no lo esperaba.
Optimismo y fuerza para la recuperación
A pesar del momento complicado, Eugenia Silva transmite un mensaje lleno de esperanza y autocuidado. "Pero aquí estoy. Cuidándome. Escuchándome. Y entendiendo que estar bien también es esto: parar", concluyó, demostrando que la clave para superar estos baches está en aceptarse, valorarse y tomarse el tiempo necesario para sanar.

Redes sociales de Eugenia Silva
Sus seguidores le han enviado cientos de mensajes de apoyo y cariño, valorando su valentía y transparencia para compartir un aspecto tan íntimo de su vida. Sin duda, Eugenia está demostrando que, más allá del brillo y la fama, también es humana y enfrenta sus propios desafíos con fortaleza.